imregdeform
Deformable registration of grayscale images or intensity volumes using total variation method
Since R2022b
Syntax
Description
The imregdeform function uses the total variation method to
perform deformable registration of grayscale images or intensity volumes. You can use this
function to register medical images or volumes deformed due to local
transformations.
Examples
Load a reference image and an image to be registered into the workspace. Convert the images to grayscale.
fixedImg = imread("hands1.jpg"); fixed = im2gray(fixedImg); movingImg = imread("hands2.jpg"); moving = im2gray(movingImg);
Display the fixed image and the moving image. Observe the deformation in the alignment of the images.
figure imshowpair(fixed,moving)

Register the moving image to the fixed image.
[dispField,reg] = imregdeform(moving,fixed,NumPyramidLevels=6,GridRegularization=0.6);
--------------------------- Pyramid Level = 6 --------------------------------
Normalized Function local Closeness to
Iteration rmse minima Step-size optimal solution
1 1.64147 37024.85 4.19 49.62783
2 1.48633 31590.32 24.34 48.04233
3 1.63155 30339.11 18.00 46.47121
4 1.33748 29085.22 7.83 60.12520
5 1.29691 28578.16 10.20 74.34988
6 1.35689 28002.80 14.17 78.68985
7 1.36835 27701.23 7.44 65.67400
8 1.17573 27384.96 8.51 35.42655
9 1.08997 26944.82 13.44 53.24290
10 0.95153 26374.55 5.58 29.71761
11 0.91025 26169.77 2.55 26.32110
12 0.91195 25891.90 5.95 34.23311
13 1.14507 25726.65 14.50 41.34727
14 1.22759 25281.23 11.61 33.04872
15 0.97035 24703.21 7.40 34.35227
16 1.03194 24307.52 9.90 34.04009
17 1.03114 24077.92 7.69 41.98692
18 0.98282 23736.04 14.83 46.11518
19 0.95928 23317.39 14.87 37.88543
20 0.92435 22891.46 17.10 45.98425
21 0.81884 22398.19 11.15 37.09230
22 0.70854 22097.88 6.20 23.16606
23 0.65405 21979.78 3.92 20.64745
24 0.58632 21890.52 3.22 17.18440
25 0.59774 21767.81 7.38 17.62879
26 0.63929 21698.98 8.36 22.69476
27 0.50519 21574.89 2.62 15.70961
28 0.50145 21491.14 3.01 12.74984
29 0.50583 21419.94 3.16 14.86162
30 0.48495 21390.37 4.85 13.89448
31 0.46792 21363.09 1.43 13.67136
32 0.40962 21356.92 1.65 9.81103
33 0.40800 21356.83 0.18 9.50097
--------------------------- Pyramid Level = 5 --------------------------------
Normalized Function local Closeness to
Iteration rmse minima Step-size optimal solution
1 0.44400 23959.26 5.30 22.96675
2 0.39054 23254.00 9.46 18.54225
3 0.36834 23134.24 5.02 22.51687
4 0.33450 23051.56 1.59 12.51228
5 0.33048 23004.59 2.58 10.00635
6 0.32744 22960.51 3.02 8.53763
7 0.35590 22882.32 6.67 25.78789
8 0.32620 22788.98 1.99 10.72627
9 0.31109 22735.69 1.69 7.66284
10 0.30765 22695.63 2.81 6.17573
11 0.30926 22686.24 1.23 7.16720
12 0.31211 22682.41 0.80 6.14514
13 0.31531 22680.85 0.64 4.67112
14 0.31613 22680.72 0.19 4.48773
--------------------------- Pyramid Level = 4 --------------------------------
Normalized Function local Closeness to
Iteration rmse minima Step-size optimal solution
1 0.28145 28405.52 4.99 21.00908
2 0.26476 27597.03 9.61 12.38695
3 0.24598 27383.91 4.02 15.36023
4 0.23363 27324.84 1.62 7.73943
5 0.23838 27210.31 2.64 5.38586
6 0.23927 27069.79 3.11 8.21937
7 0.24557 26887.38 5.87 15.04452
8 0.23496 26800.32 1.50 8.34004
9 0.23145 26768.71 1.57 4.85076
10 0.23168 26719.01 2.55 6.53736
11 0.23681 26642.15 5.61 15.09616
12 0.23464 26630.58 0.24 13.60102
13 0.23266 26610.13 0.46 10.58390
14 0.23255 26601.49 0.22 9.65321
--------------------------- Pyramid Level = 3 --------------------------------
Normalized Function local Closeness to
Iteration rmse minima Step-size optimal solution
1 0.16744 30346.55 7.61 9.96598
2 0.16423 30102.90 4.35 8.31888
3 0.16156 29980.10 2.71 5.30052
4 0.16202 29875.25 3.51 5.31044
5 0.16292 29776.72 4.77 7.43375
6 0.16392 29666.27 4.26 6.45157
7 0.16464 29634.29 3.28 6.47223
8 0.16468 29602.16 3.41 9.24846
9 0.16277 29597.64 2.84 4.73205
10 0.16176 29572.86 3.45 4.35968
11 0.16176 29572.86 0.00 4.35968
--------------------------- Pyramid Level = 2 --------------------------------
Normalized Function local Closeness to
Iteration rmse minima Step-size optimal solution
1 0.12139 29164.12 9.06 7.14657
2 0.11765 28862.99 5.23 7.51071
3 0.11638 28735.95 3.36 5.13431
4 0.11604 28645.67 3.50 6.77235
5 0.11627 28571.44 4.39 7.44974
6 0.11643 28484.52 3.61 6.90287
7 0.11650 28430.69 2.00 4.35050
8 0.11647 28378.27 2.95 6.94813
9 0.11613 28331.35 3.26 7.69602
10 0.11584 28303.82 2.11 6.46113
11 0.11552 28262.96 2.64 4.12833
12 0.11530 28249.84 2.80 11.04338
13 0.11536 28165.72 3.59 7.07952
14 0.11575 28115.74 1.89 4.88695
15 0.11620 28076.12 2.02 7.58382
16 0.11622 28074.37 0.15 7.56209
--------------------------- Pyramid Level = 1 --------------------------------
Normalized Function local Closeness to
Iteration rmse minima Step-size optimal solution
1 0.08227 31990.15 11.47 9.08748
2 0.08242 31703.96 3.95 6.42847
3 0.08259 31673.33 2.83 5.67320
4 0.08258 31592.75 1.62 2.86820
5 0.08248 31472.11 3.63 3.95016
6 0.08236 31394.95 4.08 8.78071
7 0.08236 31318.79 3.15 6.38715
8 0.08241 31284.34 2.45 7.80981
9 0.08246 31262.04 2.13 5.12771
10 0.08250 31229.45 2.73 9.02125
11 0.08251 31184.48 2.76 3.64280
12 0.08250 31134.21 2.36 4.62556
13 0.08248 31093.60 2.20 4.72435
14 0.08242 31058.09 3.05 4.89112
15 0.08241 31054.40 0.65 4.79422
16 0.08241 31043.52 4.64 4.55428
17 0.08246 30994.01 1.31 4.77986
18 0.08250 30974.64 1.80 2.70051
19 0.08252 30930.33 3.55 2.98580
20 0.08254 30888.56 3.01 6.76067
21 0.08255 30859.27 0.88 3.84733
22 0.08255 30832.80 0.33 4.48049
23 0.08256 30830.23 0.29 4.08242
24 0.08256 30822.47 0.76 3.60879
25 0.08256 30819.46 0.56 3.21932
26 0.08256 30817.90 0.22 3.08394
Display the fixed image and the registered image. Observe the alignment of the images.
figure imshowpair(fixed,reg)

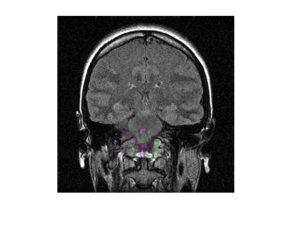
Load a MAT file containing a reference volume into the workspace. Convert the reference volume to data type double.
load mristack.mat
fixed = im2double(squeeze(mristack));Create a deformed volume using local transformations.
local = fixed(160:200,100:140,:); local = imrotate(local,90); moving = fixed; moving(160:200,100:140,:) = local;
Display a slice of the fixed volume and a corresponding slice of the moving volume. Observe the deformation in the alignment of the volumes.
figure imshowpair(fixed(:,:,10),moving(:,:,10))

Register the moving volume to the fixed volume.
[dispField,reg]=imregdeform(moving,fixed,GridRegularization=0.001);
--------------------------- Pyramid Level = 3 --------------------------------
Normalized Function local Closeness to
Iteration rmse minima Step-size optimal solution
1 0.00016 34081.23 4.60 79.85176
2 0.00016 27591.18 16.75 70.06876
3 0.00019 26948.09 23.68 65.83620
4 0.00018 26498.21 5.02 59.19717
5 0.00018 25872.69 8.68 43.63346
6 0.00019 25774.23 7.70 46.14477
--------------------------- Pyramid Level = 2 --------------------------------
Normalized Function local Closeness to
Iteration rmse minima Step-size optimal solution
1 0.00009 24832.60 6.00 46.80394
2 0.00012 24491.93 29.78 58.92927
3 0.00014 21486.74 9.76 59.40296
4 0.00010 20100.15 7.82 36.86658
5 0.00010 19653.02 5.40 32.11689
6 0.00009 19344.57 6.25 27.88253
7 0.00009 19179.94 6.32 26.61265
8 0.00008 19105.13 6.35 25.79584
--------------------------- Pyramid Level = 1 --------------------------------
Normalized Function local Closeness to
Iteration rmse minima Step-size optimal solution
1 0.00005 22834.26 6.43 25.64158
2 0.00006 21498.26 20.85 63.44257
3 0.00007 20173.48 11.87 81.18027
4 0.00006 20039.11 21.12 51.90494
5 0.00006 19909.26 3.44 51.33763
6 0.00005 19738.00 4.92 45.68723
7 0.00005 19542.03 6.75 37.99851
8 0.00005 19430.34 7.47 30.56819
9 0.00005 19396.99 4.20 26.59914
Display the same slice of the fixed volume and the corresponding slice of the registered volume. Observe the improved alignment of the volumes.
figure imshowpair(fixed(:,:,10),reg(:,:,10))

Input Arguments
Image or volume to be registered, specified as a 2-D numeric matrix or 3-D numeric
array, respectively. The size of moving must be the same as the size
of fixed.
Data Types: single | double | int8 | int16 | int32 | int64 | uint8 | uint16 | uint32 | uint64
Reference image or volume, specified as a 2-D numeric matrix or 3-D numeric array,
respectively. The size of fixed must be the same as the size of
moving.
Data Types: single | double | int8 | int16 | int32 | int64 | uint8 | uint16 | uint32 | uint64
Name-Value Arguments
Specify optional pairs of arguments as
Name1=Value1,...,NameN=ValueN, where Name is
the argument name and Value is the corresponding value.
Name-value arguments must appear after other arguments, but the order of the
pairs does not matter.
Example: [dispField,reg] =
imregdeform(moving,fixed,NumPyramidLevels=6) registers moving
to fixed using six pyramid levels.
Grid spacing, specified as a two-element or three-element numeric vector.
If moving and fixed are 2-D grayscale
images, GridSpacing must be a two-element vector, and its default
value is [4 4]. If moving and
fixed are 3-D intensity volumes, GridSpacing
must be a three-element vector, and its default value is [4 4 4].
Smaller values of GridSpacing specify a finer grid
resolution.
Data Types: double
Pixel size, specified as a two-element or three-element numeric vector. Specify
values in millimeters. For best results, specify this value when known, especially for
images with unequal spacing between dimensions. The function uses the pixel size to
calculate the displacement field, and then converts displacement values back to pixel
units before returning dispField.
If moving and fixed are 2-D grayscale
images, PixelResolution must be a two-element vector, and its
default value is [1 1]. If moving and
fixed are 3-D intensity volumes,
PixelResolution must be a three-element vector, and its default
value is [1 1 1].
Data Types: double
Number of multiresolution pyramid levels, specified as a positive integer.
If
movingandfixedare 2-D grayscale images of size M-by-N, then the value ofNumPyramidlevelsmust satisfy the conditionmin([M N]) > (2^NumPyramidLevels)*0.7.If
movingandfixedare 3-D intensity volumes of size M-by-N-by-P, then the value ofNumPyramidlevelsmust satisfy the conditionmin([M N P]) > (2^NumPyramidLevels)*0.7.
Data Types: single | double | int8 | int16 | int32 | int64 | uint8 | uint16 | uint32 | uint64
Weighing factor for grid displacement regularization, specified as a nonnegative scalar.
A large value for GridRegularization can create a smooth output
displacement field, whereas a small value can create more localized
displacements.
Data Types: double
Progress information output,
specified as a numeric or logical 1 (true) or
0 (false). Specify
DisplayProgress as true to display information
such as the number of iterations, normalized root mean square error (RMSE), function
local minima, step size, and closeness to optimal solution.
Data Types: single | double | int8 | int16 | int32 | int64 | uint8 | uint16 | uint32 | uint64 | logical
Output Arguments
Displacement field, returned as a 3-D or 4-D numeric array. Displacement values are
in units of pixels, even if you specify the PixelResolution. To
convert the displacements to world units such as millimeters, multiply the displacements
in each direction by the corresponding pixel spacing value. For an example that converts
displacements to millimeters, see Estimate Lung Displacement Field During Breathing Using Deformable Image Registration.
If moving and fixed are 2-D grayscale images
of size M-by-N, the displacement field
dispField is a 3-D numeric array of size
M-by-N-by-2, where
dispField(:,:,1) and dispField(:,:,2) contain
the displacements in the X- and Y- directions,
respectively. If moving and fixed are 3-D
intensity volumes of size
M-by-N-by-P, the displacement
field dispField is a 4-D numeric array of size
M-by-N-by-P-by-3, where
dispField(:,:,1), dispField(:,:,2), and
dispField(:,:,3) contain the displacements in the
X-, Y- and Z- directions,
respectively.
Data Types: double
Registered image or volume, returned with the same size and data type as
moving.
Tips
To transform an image using the displacement field dispField, pad the
image and dispField symmetrically and then use imwarp.
For a 2-D image:
padSize = [7 7]; img = padarray(img,padSize,"symmetric","both"); dispField = padarray(dispField,padSize,"symmetric","both"); warpedImg = imwarp(img,dispField); warpedImg = warpedImg(padSize(1)+1:end-padSize(1),padSize(2)+1:end-padSize(2)); nanIdx = isnan(warpedImg); warpedImg(nanIdx) = 0;
For a 3-D volume:
padSize = [5 5 5]; vol = padarray(vol,padSize,"symmetric","both"); dispField = padarray(dispField,padSize,"symmetric","both"); warpedVol = imwarp(vol,dispField); warpedVol = warpedVol(padSize(1)+1:end-padSize(1),padSize(2)+1:end-padSize(2),padSize(3)+1:end-padSize(3)); nanIdx = isnan(warpedVol); warpedVol(nanIdx) = 0;
References
[1] Vishnevskiy, Valery, Tobias Gass, Gabor Szekely, Christine Tanner, and Orcun Goksel. “Isotropic Total Variation Regularization of Displacements in Parametric Image Registration.” IEEE Transactions on Medical Imaging 36, no. 2 (February 2017): 385–95. https://doi.org/10.1109/TMI.2016.2610583.
Version History
Introduced in R2022b
MATLAB Command
You clicked a link that corresponds to this MATLAB command:
Run the command by entering it in the MATLAB Command Window. Web browsers do not support MATLAB commands.
Select a Web Site
Choose a web site to get translated content where available and see local events and offers. Based on your location, we recommend that you select: .
You can also select a web site from the following list
How to Get Best Site Performance
Select the China site (in Chinese or English) for best site performance. Other MathWorks country sites are not optimized for visits from your location.
Americas
- América Latina (Español)
- Canada (English)
- United States (English)
Europe
- Belgium (English)
- Denmark (English)
- Deutschland (Deutsch)
- España (Español)
- Finland (English)
- France (Français)
- Ireland (English)
- Italia (Italiano)
- Luxembourg (English)
- Netherlands (English)
- Norway (English)
- Österreich (Deutsch)
- Portugal (English)
- Sweden (English)
- Switzerland
- United Kingdom (English)