getAxesHandle
Syntax
Description
Examples
Run this code to download a data set from the MathWorks® website and unzip the downloaded folder. The data set contains three CT volumes that are each saved as a directory of DICOM files. The size of the entire data set is approximately 81 MB. The scan used by this example, LungCT01, is stored in the folder specified by dataFolder.
zipFile = matlab.internal.examples.downloadSupportFile("medical","MedicalVolumeDICOMData.zip"); filepath = fileparts(zipFile); unzip(zipFile,filepath) dataFolder = fullfile(filepath,"MedicalVolumeDICOMData","LungCT01");
Create a medical image volume object that contains the image data and spatial referencing information for the CT volume. The Orientation property indicates that the primary slice direction is "transverse".
medVol = medicalVolume(dataFolder);
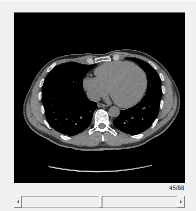
View the transverse slices of the volume in the slice viewer. By default, the viewer uses the properties of medVol to scale anisotropic voxels, set the intensity display range, and orient the slices. The viewer opens on the center slice. Use the scroll bar to navigate to other slices.
sv = sliceViewer(medVol,Parent=figure);

Get the handle to the axes that contains the image slices in the slice viewer.
hAx = getAxesHandle(sv)
hAx =
Axes with properties:
XLim: [0.5000 512.5000]
YLim: [0.5000 512.5000]
XScale: 'linear'
YScale: 'linear'
GridLineStyle: '-'
Position: [30 57.5000 512 512]
Units: 'pixels'
Show all properties
Input Arguments
Slice viewer, specified as a sliceViewer
object.
Output Arguments
Axes in the slice viewer window, returned as an Axes
object.
Version History
Introduced in R2023a
See Also
MATLAB Command
You clicked a link that corresponds to this MATLAB command:
Run the command by entering it in the MATLAB Command Window. Web browsers do not support MATLAB commands.
Select a Web Site
Choose a web site to get translated content where available and see local events and offers. Based on your location, we recommend that you select: .
You can also select a web site from the following list
How to Get Best Site Performance
Select the China site (in Chinese or English) for best site performance. Other MathWorks country sites are not optimized for visits from your location.
Americas
- América Latina (Español)
- Canada (English)
- United States (English)
Europe
- Belgium (English)
- Denmark (English)
- Deutschland (Deutsch)
- España (Español)
- Finland (English)
- France (Français)
- Ireland (English)
- Italia (Italiano)
- Luxembourg (English)
- Netherlands (English)
- Norway (English)
- Österreich (Deutsch)
- Portugal (English)
- Sweden (English)
- Switzerland
- United Kingdom (English)